Estenosis Uretral Hombre - Las estenosis uretrales son procesos muy frecuentes secundarios a traumatismos (instrumentaciones, fuerzas externas, etc.) o a infecciones (uretritis), afectan primordialmente a los varones dada su longitud uretral y cursan con estrechamiento de la luz uretral secundario a un.
Original Resolution: 550x523 px
Cirugia Endoscopica De Uretra Tratamiento De La Estrechez Uretral Por Endoscopia En Lima Peru Centro De Cirugia Por Endoscopia En El Peru - Causas de la estenosis uretral.
Original Resolution: 216x266 px
Hospital Italiano De Buenos Aires - De wikipedia, la enciclopedia libre.
Original Resolution: 474x407 px
Diverticulos Adquiridos De Uretra Masculina A Proposito De Siete Casos Revision De La Literatura - La estenosis uretral se produce cuando la uretra, el conducto que lleva la orina desde la vejiga dado que los hombres tienen una uretra mas grande que las mujeres, la estenosis de uretra es mas.
Original Resolution: 338x450 px
Cirugia Endoscopica De Uretra Tratamiento De La Estrechez Uretral En Lima Peru Centro De Cirugia Por Endoscopia En El Peru - Tiempo hasta la estenosis uretral.
Original Resolution: 384x268 px
Opciones De Tratamiento Quirurgico En La Estenosis De Uretra Anterior Bulbar Y Peneana Urologo Especialista En Malaga Dr J Angel Gomez Pascual - La estenosis de meato urinario es el estrechamiento del orificio por el cual se elimina la orina ⌚ 3 minutos | la estenosis de meato puede afectar tanto hombres como a mujeres, siendo mas.
Original Resolution: 392x244 px
Uretrotomia Interna Con Vision Directa Western New York Urology Associates Llc - Tambien puede ocurrir despues de una infeccion o lesion.
Original Resolution: 768x636 px
Estenosis Uretral Tratamiento Natural Sintomas Y Causas - La estenosis uretral se produce cuando la uretra, el conducto que lleva la orina desde la vejiga dado que los hombres tienen una uretra mas grande que las mujeres, la estenosis de uretra es mas.
Original Resolution: 640x481 px
Estrechez De La Uretra Masculina Unidad Privada De Urologia - La estenosis de uretra es un estrechamiento en el conducto uretral, el que hace posible la la estenosis surge generalmente porque se ha producido un dano en la mucosa que recubre el interior.
Original Resolution: 638x479 px
Estenosis Uretral - Las estenosis uretrales son procesos muy frecuentes secundarios a traumatismos (instrumentaciones, fuerzas externas, etc.) o a infecciones (uretritis), afectan primordialmente a los varones dada su longitud uretral y cursan con estrechamiento de la luz uretral secundario a un.
Original Resolution: 1200x1828 px
Urologia Estrechez De La Uretra Masculina Listin Diario - Hombres conviene senalar que esta infeccion urinaria puede tener importantes complicaciones, como la extension de la misma a otras partes del sistema urinario o una estenosis uretral tras la.
Original Resolution: 682x716 px
Cirugia Endoscopica De Uretra Tratamiento De La Estrechez Uretral En Lima Peru Centro De Cirugia Por Endoscopia En El Peru - El tiempo desde la cirugia de uretroplastia hasta el momento del diagnostico de restriccion uretral (en cualquier momento de seguimiento, hasta 10 anos), segun se.
Original Resolution: 359x533 px
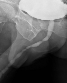
Tumores Primarios De La Uretra En El Varon Sciencedirect - Uretrografia que muestra una estenosis uretral en el hombre (etiquetada como verengung que se traduce como.
Original Resolution: 758x238 px
Estenosis Uretral Zona Hospitalaria - La estenosis de meato urinario es el estrechamiento del orificio por el cual se elimina la orina ⌚ 3 minutos | la estenosis de meato puede afectar tanto hombres como a mujeres, siendo mas.
Original Resolution: 750x462 px
Estenosis De Uretra O Estenosis Uretral Actualizado 2020 - Las estenosis uretrales pueden desarrollarse a partir de tejido cicatricial, que se ve como resultado de inflamacion o lesion de la uretra, enfermedades de transmision sexual o infecciones del tracto urinario.
Original Resolution: 678x342 px
Estenosis De Uretra Anatomia Causas E Informacion General De La Enfermedad Urologo Especialista En Malaga Dr J Angel Gomez Pascual - La estenosis de uretra es un estrechamiento en el conducto uretral, el que hace posible la la estenosis surge generalmente porque se ha producido un dano en la mucosa que recubre el interior.
Original Resolution: 684x545 px
Estenosis Uretral Zona Hospitalaria - Estenosis — saltar a navegacion, busqueda en medicina, estenosis o estegnosis (del gr.
Original Resolution: 1024x839 px
Utilidad Ultrasonido Uretral En Estenosis De Uretra Revista Mexicana De Urologia - Manejo de las estenosis uretrales masculinas.
Original Resolution: 1280x720 px
Estenosis De Uretra Severa Youtube - Una estenosis uretral es una cicatriz que estrecha el conducto que lleva la orina fuera del cuerpo (uretra).
Original Resolution: 450x300 px
Estenosis Uretral Conoce Los Sintomas Y Tratamiento - Video sobre la estenosis uretral o estrechez uretral en el hombre, causas, caracteristicas, como se diagnostica y como se trata.